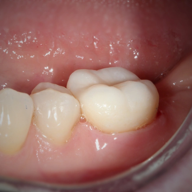
Crowns and Bridges in Applecross
Crowns and bridges are custom-made ceramic restorations designed to improve the function and aesthetics of your smile. A crown covers and protects a weakened or worn tooth, while a bridge replaces one or more missing teeth, anchored to surrounding teeth for a natural and seamless finish. These treatments can address issues such as:
- Crowns restore severely worn or fractured teeth
- Crowns cover and reinforce a root canal treated tooth
- Crowns replace large fillings or structural damage
- Bridges replace missing teeth when dental implants are unsuitable
- Cosmetic imperfections such as staining or poorly shaped teeth
Book your consultation at Revive Dental Applecross today to discuss how crowns or bridges can restore your smile.
Suitability
Crowns and bridges are recommended when teeth are structurally weak or if you have gaps caused by missing teeth. Ideal candidates have healthy gums and sufficient supporting tooth and bone structure. If gum disease is a concern, your dentist will tailor a plan to bring your gums back to health before your crown is placed. Our dentists carefully assess each client to ensure your custom-made crown or bridge restoration is tailored to suit your unique smile and fosters long-term oral health.
Refine your smile in Applecross, find out if crowns or bridges are right for you.
Crown and Bridge Process
Treatment with a crown or bridge takes place over two to three visits:
- Personalised assessment and digital scans
- Teeth are shaped and prepared
- Scans or impressions are sent to the dental lab
- Provisional teeth are placed
- Final crown or bridge is expertly crafted by our ceramist
- Your dentist fits your final restoration in place
Our ceramic restorations are individually crafted to mirror the colour, shape and natural translucency of your teeth. If you’re seeking a lighter shade to complement professional whitening, your dentist can tailor your treatment plan.
Schedule your consultation and experience expertly crafted results.
Alternate Crown and Bridge Solutions
In some cases, other restorative options may be considered, including dental implants or partial dentures. Implants provide a long-term, fixed solution that support the health of existing teeth and gums, while dentures are a removable alternative. Your dentist at Revive Dental will discuss all options and recommend the approach that balances durability, aesthetics, and your lifestyle.
Explore personalised solutions to revive your smile — book a consultation today.
Safety & Maintenance Considerations
Crowns and bridges are safe, long-lasting restorations when carried out by a skilled clinician and maintained with proper care. Regular check-ups, professional cleans, and diligent oral hygiene help prevent decay and gum issues around restorations. Avoid biting excessively hard foods and follow your dentist’s guidance to preserve the integrity of your new smile.
Protect your investment and ensure longevity — schedule a maintenance appointment at Revive Dental.
Accreditations & Partnerships
Book your appointment today & let our team revitalise your smile.
© 2026 Copyright Revive Dental. All Rights Reserved.
Web Design By iST Digital
