Dentures in Applecross
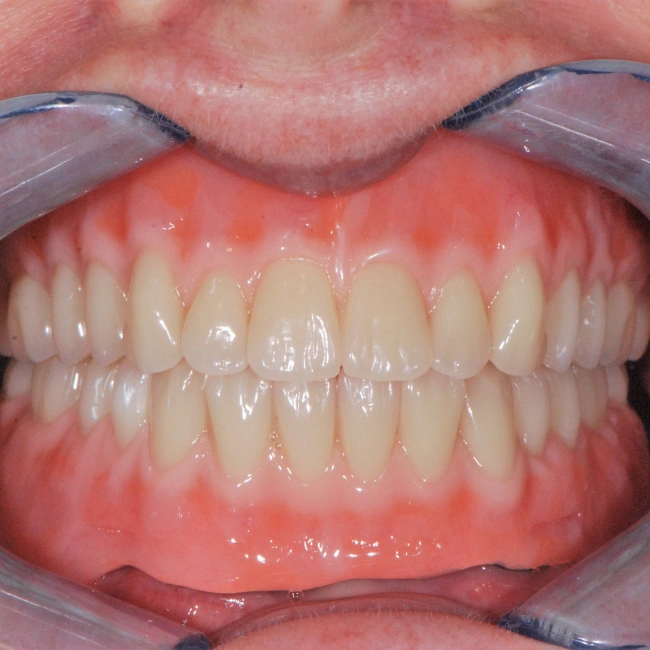
At Revive Dental Applecross, our approach to dentures focuses on precision, comfort, and natural aesthetics. Custom-crafted to suit your oral health and facial structure, dentures are designed to help you eat, speak, and smile comfortably. Whether you’re replacing a few teeth or a full arch, our team works closely with you to plan and fit dentures that suit your individual needs.
Find out if dentures are right for you – book a consultation today.
Types of Dentures
We provide denture options to meet different clinical and lifestyle needs:
Partial Dentures – Designed to replace one or several missing teeth while integrating with remaining natural teeth.
Full Dentures – Crafted to restore a complete arch of teeth, supporting function and appearance.
Implant-Retained Dentures – Dentures anchored to dental implants, providing additional stability.
Each option is custom-made in a dental lab, allowing for adjustments to fit and appearance based on your oral health.
Book a consultation to discuss which option suits your needs.
Treatment Process
Consultation & Assessment – Review oral health, jaw structure, and denture needs.
Impressions & Measurements – Custom moulds capture your bite and oral anatomy.
Trial Denture – A prototype to assess fit, function, and appearance.
Adjustments & Refinement – Modify fit and aesthetics as required.
Final Denture Fabrication – Crafted in our on-site laboratory for precision.
Fitting & Maintenance – Placement and guidance on daily care and maintenance.
Follow-Up – Monitor fit, comfort, and oral health over time.
Book your denture assessment today.
Safety, Maintenance & Suitability
Dentures may be suitable for adults with multiple missing teeth, depending on oral health, jawbone condition, and overall suitability. Full acrylic dentures may last between 5 to 8 years on average before needing to be replaced. Hard and soft denture relines are usually required to adjust to a changing jawbone. For clients who cannot tolerate wearing a denture, we may recommend treatment with dental implants for a fixed teeth replacement solution.
Recommended maintenance includes:
- Daily cleaning with appropriate denture care products
- Regular check-ups to monitor fit and oral health
- Avoiding hard or sticky foods that may stress the denture
Routine care helps maintain comfort, function, and the appearance of your dentures.
Explore related: Preventive Dentistry, Check-Ups & Cleans
Schedule your denture maintenance appointment today.
Denture Limitations
Dentures remain an accessible teeth replacement solution for many people; however, they do have limitations.
- Reduced Stability – Traditional dentures can shift or move, especially lower dentures.
- Changes in Fit Over Time – Jawbone naturally shrinks after tooth loss, which can cause looseness and the need for relines.
- Reduced Chewing Efficiency – Bite strength is generally lower compared to natural teeth or implant-supported options.
- Speech Adjustment Period – Some people experience temporary difficulty with pronunciation.
- Sore Spots or Irritation – Poorly fitting dentures can cause pressure areas on the gums.
- Dietary Restrictions – Sticky, hard, or chewy foods may be difficult to manage.
- Daily Removal & Cleaning – Dentures require consistent cleaning and removal at night.
- Bulkiness – Some people find full dentures feel large or unnatural at first.
- Jawbone Loss – Conventional dentures do not stimulate the jawbone the way natural teeth or implants do.
- Maintenance & Replacement Costs – Relines, repairs, and eventual replacement are part of long-term care.
Alternative Treatment Solutions
For clients seeking additional support or options beyond conventional dentures, alternatives may include:
- Dental implants to support fixed or implant-retained dentures
- Dental bridges to replace individual teeth
Our dentists can discuss appropriate treatments based on your oral health and goals.
Book a consultation to explore your options.
Denture Relines & Repairs
Over time, dentures may require relining or minor repairs to maintain fit and comfort. At Revive Dental, we provide:
- Denture relines to adjust for natural changes in gums or jaw structure
- Repairs for cracks, chips, or damaged clasps
- Polishing and minor adjustments to maintain appearance and comfort
Arrange a denture adjustment or repair consultation today.
Accreditations & Partnerships
Book your appointment today & let our team revitalise your smile.
© 2026 Copyright Revive Dental. All Rights Reserved.
Web Design By iST Digital
