Wisdom Tooth Removal from $1399*
Wisdom teeth can cause discomfort, swelling and misalignment when space is limited. At Revive Dental Applecross, we provide comprehensive assessment and personalised treatment planning to determine whether removal is appropriate for you.
NO GAP or $150 Wisdom Teeth Consultation & Scan
- Comprehensive consultation (Item #014)
- OPG radiograph (Item #037, if clinically required)
- CBCT scan (Item #026, if clinically required)
- Personalised treatment plan
This offer is valid for new clients only. Every case begins with a thorough clinical assessment to determine complexity and suitability. Where appropriate, treatment may be completed comfortably under local anaesthesia at our clinic.
*Treatment price starts from $1,399 (Extractions (#311, #314, #322 or #324 (×4)). Price excludes sedation (#949), medication (#927), anaesthetist fees and hospital fees (fees vary according to your health fund entitlements). Read full terms and conditions here.
Book your NO GAP or $150 consultation and scan to receive a personalised assessment and detailed treatment plan.
Understanding Wisdom Teeth
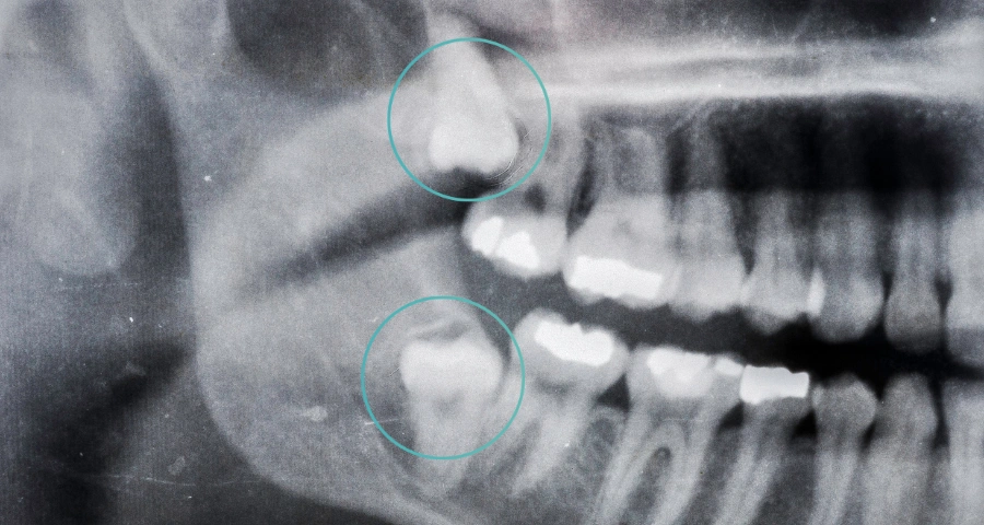
Wisdom teeth are the third set of molars that usually begin to appear between the ages of 18 and 25, though some people may never develop them at all. Around one in four Australians will develop at least one impacted wisdom tooth during young adulthood, often because there simply isn’t enough room in the jaw for these final teeth to emerge comfortably.
If your wisdom teeth are growing straight and have space to emerge, they may not be causing issues. But it’s impossible to know without an x-Ray showing the position and direction of each tooth. For peace of mind, a professional assessment with your dentist can confirm this.
Book your NO GAP or $150 consultation and scan with Revive Dental in Applecross to discuss your wisdom teeth.
Recognising the Signs
Wisdom teeth can remain unnoticed for years before unexpectedly causing discomfort or disruption. You may feel soreness at the back of your mouth, tenderness in the gums, difficulty chewing, or notice swelling. Sometimes, a partially erupted tooth can create pockets where bacteria gather, affecting the health and balance of your smile.
Even if these symptoms appear intermittently, seeing one of our experienced dentists early can help prevent future complications and maintain the long-term harmony of your teeth.
Book your NO GAP or $150 consultation and scan at Revive Dental in Applecross today and take the first step towards a healthier, refreshed smile.
Tailored Care & Expert Guidance
At Revive Dental, we combine thoughtful assessment with personalised care. Our experienced clinicians will examine your mouth and take diagnostic imaging to see their position and how they’re developing. We explain the options clearly and talk through your proposed plan — including sedation and funding options if required — so you feel informed and supported every step of the way.
Our Treatment Process
- Consultation & treatment planning
- Discuss surgery and sedation options
- Removal of your wisdom teeth
- Discuss aftercare
- Recovery
In some cases, wisdom teeth can be guided to erupt naturally with a small incision, avoiding removal. We then monitor their development to support alignment and long-term oral health.
For complex cases, our principal dentist, Dr David Norcross welcomes referrals from your regular dentist. Book your NO GAP or $150 consultation and scan in Applecross today.
What to Expect & Supporting Your Smile
When wisdom teeth are unlikely to emerge properly or may lead to future problems, proactive care can help preserve the overall harmony of your smile. If a tooth does need to be removed, we provide thorough aftercare guidance for smooth and swift healing.
For expert advice tailored to your smile, call us on (08) 9316 0555 or book online with Revive Dental Applecross.
FAQS
-
What’s included in the NO Gap or $150 Wisdom Teeth Consultation Offer?
NO GAP or $150 Wisdom Teeth Consultation & Scan
This offer is valued at $390 and includes:
- Comprehensive consultation (Item #014)
- OPG radiograph (Item #037) if clinically required
- CBCT scan (Item #026) if clinically required
- Personalised treatment plan
This offer is valid for NEW clients only.
“NO GAP” applies only to clients with eligible private health insurance where their level of cover fully covers the consultation and any clinically required radiographs. Clients are responsible for any gap payment not covered by their health fund.
Clients without eligible private health insurance will be charged a total fee of $150 for the consultation and any clinically required radiographs included in this offer.
Radiographs (OPG or CBCT) will only be taken if deemed clinically necessary by the treating dentist. If a patient provides a recent diagnostic radiograph (taken within the past 6 months), additional imaging may not be required. No partial refunds apply if radiographs are not taken.
This offer applies to wisdom teeth assessment only and does not include the cost of wisdom tooth removal or any additional treatment. Total treatment costs vary and start from $1,399 for the removal of four wisdom teeth ((#311, #314, #322 or #324 ×4). Sedation and hospital fees apply. Additional fees apply depending on clinical complexity.
Offer is not redeemable for cash, is non-transferable and cannot be used in conjunction with any other promotion.
All treatment recommendations are subject to clinical assessment and suitability.
Fees and item numbers are correct at the time of publication and may be subject to change.
Treatment by Dr David Norcross (DEN0001598451) Registered dentist, general registration.
Any surgical or invasive procedure carries risks. Before proceeding, you should seek a second opinion from an appropriately qualified health practitioner.
Read all treatment considerations and risks here.
Accreditations & Partnerships
Book your appointment today & let our team revitalise your smile.
© 2026 Copyright Revive Dental. All Rights Reserved.
Web Design By iST Digital
