White Fillings
White fillings are used to seal cavities caused by tooth decay, preventing further bacteria from entering the tooth. Made from durable composite resin, they come in a range of shades that can be closely matched to your natural tooth colour for a seamless result. This minimally invasive treatment helps restore the strength & appearance of your tooth, with white fillings typically lasting between five & fifteen years, depending on tooth materials, your oral hygiene & bite.
Tooth Grinding & TMJ Treatment
The habitual grinding or clenching of teeth — can become a long-term issue if not addressed early. Ongoing grinding, often triggered by stress, can wear down the teeth & place excessive strain on the jaw joints. This may lead to temporomandibular joint (TMJ) pain, making everyday actions like chewing, talking & yawning uncomfortable or even painful.
While TMJ issues can sometimes improve once the habit is brought under control, persistent grinding or clenching may require treatment, such as a custom-made night splint to protect the teeth & relieve pressure on the jaw.
The most common sign of TMJ disorder is jaw pain, but it can present with a wide range of other symptoms.
Root Canal Therapy
Root canal therapy treats infection or inflammation inside a tooth to preserve its strength and function when decay or damage reaches the inner layers. Treatment involves removing the infected pulp, carefully cleaning and shaping the canals, and filling them to prevent reinfection, with the tooth typically restored with a crown for long-term protection. With modern anaesthesia, gentle techniques, and open communication, root canal care is as comfortable and straightforward as having a dental filling placed, and our experienced team ensures every stage is tailored to support your comfort levels for a healthier, more refined smile.
Common symptoms of a tooth infection include:
- Severe or throbbing toothache
- Swollen or tender gums
- An abscess (a pocket of pus around the tooth or gums)
- A severely chipped or cracked tooth
- Heightened sensitivity to hot or cold drinks
- A tooth affected by extensive decay
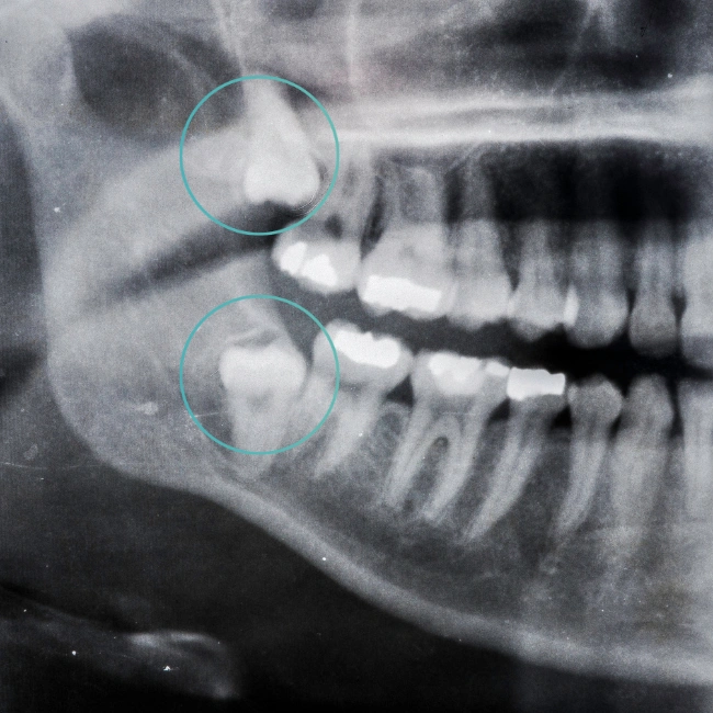
Wisdom Tooth Removal
Wisdom teeth can cause issues when there isn’t enough space for them to develop properly. They may partially emerge, grow at an angle, or become impacted, potentially leading to discomfort, swelling, or infection. Even if you aren’t experiencing symptoms, it’s important to have your wisdom teeth assessed so your dentist can check their positioning and overall health.
At Revive Dental Applecross, our experienced dentists, Dr David Norcross and Dr David O’Dowling, manage the full spectrum of wisdom tooth care — from straightforward cases to more complex situations. For complex removals or complications, we also welcome referrals from your regular dentist, ensuring continuity of care and expert management. Sedation options are available for a comfortable and stress-free experience.
Common reasons for tooth removal include:
- Persistent or severe pain
- Advanced tooth decay
- A fractured or cracked tooth
- Removal to support teeth straightening
- A previously root-canal-treated tooth that has become reinfected
Accreditations & Partnerships
Book your appointment today & let our team revitalise your smile.
© 2026 Copyright Revive Dental. All Rights Reserved.
Web Design By iST Digital
